• Өнөөдөр 2026-03-23

Бага насны хүүхэд товчин зай залгихаас урьдчилан сэргийлье

2025-01-07,   661

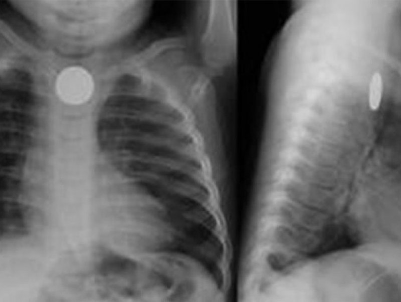
Улсын хэмжээнд бага насны хүүхдүүд товчин зай залгих тохиолдол сүүлийн жилүүдэд нэмэгдэж байна. 2024 оны эхний улирлын байдлаар товчин зай, соронз, ээмэг зэрэг гадны биет залгисан 55 тохиолдол бүртгэгдсэн байна.
 
Товчин зай нь алсын удирдлага, тооны машин, машины түлхүүр, тоглоом, цаг, ярианы ном, дуутай мэндчилгээ зэрэг олон төрлийн эд зүйлсэд байдаг. Товчин зай нь хүний биед ороод нэг цагийн дотор улаан хоолой, ходоодны салстыг түлэх, амь насанд аюултай тул цаг алдалгүй эмнэлгийн байгууллагад хандах хэрэгтэйг анхаарна уу.
 
ХҮҮХДИЙГ ТОВЧИН ЗАЙ ЗАЛГИХААС УРЬДЧИЛАН СЭРГИЙЛЭХ ЗӨВЛӨМЖ
 
Товчин зай агуулсан зүйлсийг гэрт байлгахаас зайлсхийх
Тоглоомын зайны аюулгүй байдлыг хангаж, скочоор битүүмжлэх
Товчин зай агуулсан зүйлсийг хүүхдийн гар хүрэхгүй газар хадгалах
Товчин зай болон тэдгээрийг агуулсан зүйлсийг (сав, баглаа, боодолд хийх) аюулгүй устгах
Бага насны хүүхдийг хараа хяналтгүйгээр үлдээхгүй байх
Хүүхдэд тавих хараа хяналтаа нэмэгдүүлэх...
эцэг эх, асран хамгаалагч, харгалзан дэмжигч та хүүхдийнхээ тоглоом, эд зүйлсийг аюулгүй эсэхийг тогтмол шалгаж байгаарай.
 

Бага насны хүүхэд товчин зай залгихаас урьдчилан сэргийлье
АНХААР! Та сэтгэгдэл бичихдээ хууль зүйн болон ёс суртахууныг баримтална уу. Ёс бус сэтгэгдлийг админ устгах эрхтэй. Мэдээний сэтгэгдэлд ergelt.eccold.top хариуцлага хүлээхгүй.

Нийт сэтгэгдэл: 0
Нийтлэлчид
Монгол Улс, Улаанбаатар хот, Сүхбаатар дүүрэг, VIII хороо, "Ардын эрх"-ийн байр, Гуравдугаар давхарт Эргэлт.мн редакц
7509-1188